Лечение кариеса и осложнений после него, устранение воспалительных процессов в области корневых каналов - всем этим занимается терапевтическая стоматология.
Как видно на схеме, в зависимости от поражения твердых тканей зуба и распространенности кариозного процесса различают несколько его стадий:
1.Стадия пятна
Кариес в стадии пятна на самом первом этапе представляет собой белое пятно. Часто пациенты не обращают на это внимание, однако появление более светлых участков на зубах может быть симптомом постепенного разрушения эмали. Именно так выглядят участки деминерализованной эмали. К счастью, этот процесс обратим: кариес в стадии пятна поддается лечению консервативными методами. Наиболее эффективным методом лечения является инновационная система без сверления Icon DMG Germany
![]()
Стоимость восстановления эмали одной поверхности зуба стоит 450000 сум
2. Поверхностный кариес.
Если вовремя не вылечить кариес в стадии пятна, он переходит в следующую стадию - поверхностный кариес.
![]()
Участки деминерализованной эмали со временем впитывают пигмент, пораженная эмаль окрашивается в темный цвет, местами разрушается образую небольшие кариозные полости. Пораженный зуб начинает реагировать на сладкое.
![]()
Эту стадию приходится лечить при помощи сверления. Полость тщательно высверливается бором до здоровых тканей зуба и герметично реставрируется современными композитными материалами.

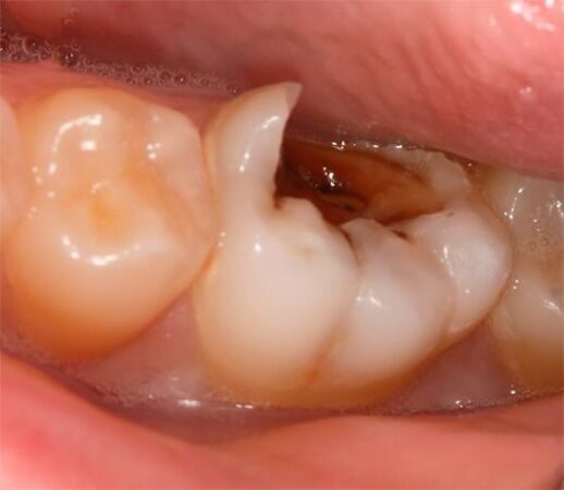
3.Средний и глубокий кариес
![]()
![]()
Дальнейшее распространение кариозного процесса поражает более глубокие слои зуба, не только эмаль зуба.Пациент жалуется на появление боли при приеме пищи, на холодное. Очень часто кариесом поражаются межзубные контакты.Восстановить такой дефект гораздо сложнее, ведь перед врачом стоит задача не только заполнить образовавшуюся полость, но и создать идеальный межзубной контакт. Для лечения применяются специальные приспособления в виде матриц и клиньев. От квалификации врача и его мануальных навыков зависит качество исполнения реставрации.
![]()
Глубокий кариес поражает самые глубокие ткани зуба и очень близко подходит к пульповой камере. Если вовремя не пролечить зуб, то может развиться пульпит- воспаление сосудисто-нервного пучка зуба. Пульпит сопровождается сильными самопроизвольными болями.
![]()
![]()
Благодаря современным технологиям у наших врачей-стоматологов в арсенале имеется огромное количество методов для восстановления поражённых тканей зуба. В ассортименте терапевта имеется двадцать цветовых оттенков эмали. Пломба удовлетворит даже самого требовательного пациента, а отличить от натурального зуба её практически невозможно. В стоматологической клинике SMALTO врачи работают исключительно с новейшими материалами, и только при помощи передовых технологий их применения.
Как известно от походов в стоматологию отказываются не только дети, но и взрослые. Некоторые люди при виде стоматологического кресла теряют сознание в преддверии невыносимой боли. Спешим вас заверить: всё это в прошлом, ведь, благодаря современным технологиям и профессиональной подготовки врачей, сегодня стоматологические процедуры стали совершенно безболезненными. Не бойтесь стоматологов! Не ждите момента, когда спасать будет нечего! Делайте все своевременно, в том числе и посещение стоматологического кабинета!